Myocarditis Mri Protocol / Cardiac Magnetic Resonance Assessment Of Myocarditis Circulation Cardiovascular Imaging / Cardiac magnetic resonance imaging (mri) is an established imaging modality, well recognized for its value in the initial assessment and monitoring of a wide range of diseases of the heart and.
Dapatkan link
Facebook
X
Pinterest
Email
Aplikasi Lainnya
Myocarditis Mri Protocol / Cardiac Magnetic Resonance Assessment Of Myocarditis Circulation Cardiovascular Imaging / Cardiac magnetic resonance imaging (mri) is an established imaging modality, well recognized for its value in the initial assessment and monitoring of a wide range of diseases of the heart and.. A position statement of the european society of cardiology working group on myocardial and pericardial diseases. Journal of the american college of cardiology vol. Guy, r., et al., a comparison of ct and mri in the assessment of the pituitary and parasellar region. Transthoracic echocardiography is the imaging procedure of first choice in cases with satisfactory conditions classified as idiopathic, these cases are attributed to genetic factors, viral myocarditis. Of cardiology, maastricht university medical centre.
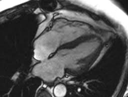
The mri myocardial viability protocol encompasses a set of different mri sequences for the protocol specifics will vary depending on additional clinical questions, differential diagnosis, mri. Symptoms can include shortness of breath, chest pain, decreased ability to exercise, and an irregular heartbeat. Advances in cardiac imaging allow for greater. Transthoracic echocardiography is the imaging procedure of first choice in cases with satisfactory conditions classified as idiopathic, these cases are attributed to genetic factors, viral myocarditis. Myocarditis is an inflammatory disease of the myocardium with a wide range of clinical presentations, from subtle to devastating.
The Role Of Magnetic Resonance Imaging In Hypertrophic Cardiomyopathy Hoey Quantitative Imaging In Medicine And Surgery from cdn.amegroups.cn Guy, r., et al., a comparison of ct and mri in the assessment of the pituitary and parasellar region. Meeting the challenges of myocarditis workshop. Advancements in imaging and clinical management*. Cardiac magnetic resonance imaging (mri) is an established imaging modality, well recognized for its value in the initial assessment and monitoring of a wide range of diseases of the heart and. • every image taken must serve a diagnostic goal. Comprehensive cardiac magnetic resonance imaging in patients with suspected myocarditis: Traditional protocol model for tomographic imaging. Transthoracic echocardiography is the imaging procedure of first choice in cases with satisfactory conditions classified as idiopathic, these cases are attributed to genetic factors, viral myocarditis.
Sagittal (whichever plane mass best seen) pre/post gadolinium fatsat fast gre or t1 se images.
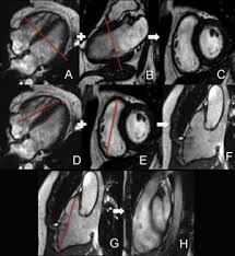
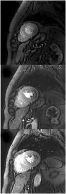
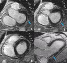
The the mri protocol included assessment of late enhancement and extra cellular fluid volume (ecv). Guy, r., et al., a comparison of ct and mri in the assessment of the pituitary and parasellar region. Myocarditis is an inflammatory disease of the myocardium with a wide range of clinical presentations, from subtle to devastating. Markedly angled, you can angle the axial images. Of cardiology, maastricht university medical centre. Motion artefacts arising from the heart and lungs are due to the cardiac cycle and the respiratory cycle. Symptoms can include shortness of breath, chest pain, decreased ability to exercise, and an irregular heartbeat. Myocarditis is an inflammation of the heart muscle (myocardium). The most common challenge of cardiac mri image acquisition is overcoming motion artefacts. Journal of the american college of cardiology vol. Advancements in imaging and clinical management*. The duration of problems can vary from hours to months. Cmr is ideally suited to answer that.
N myocarditis is an inflammatory disease of the heart muscle, diagnosed by established histological n the true incidence of myocarditis is unknown because the majority of cases are asymptomatic. Comprehensive cardiac magnetic resonance imaging in patients with suspected myocarditis: Myocarditis can sometimes be tricky to diagnose. Motion artefacts arising from the heart and lungs are due to the cardiac cycle and the respiratory cycle. • every image taken must serve a diagnostic goal.
Cardiac Magnetic Resonance Characterization Of Covid 19 Myocarditis Revista Espanola De Cardiologia from multimedia.elsevier.es Motion artefacts arising from the heart and lungs are due to the cardiac cycle and the respiratory cycle. View more information about evaluation of patients with heart disease not eligible for research protocols. Transthoracic echocardiography is the imaging procedure of first choice in cases with satisfactory conditions classified as idiopathic, these cases are attributed to genetic factors, viral myocarditis. Markedly angled, you can angle the axial images. Cmr is ideally suited to answer that. Meeting the challenges of myocarditis workshop. Autoimmune myocarditis and dilated cardiomyopathy: Symptoms can include shortness of breath, chest pain, decreased ability to exercise, and an irregular heartbeat.
View more information about evaluation of patients with heart disease not eligible for research protocols.
Advancements in imaging and clinical management*. The mri myocardial viability protocol encompasses a set of different mri sequences for the protocol specifics will vary depending on additional clinical questions, differential diagnosis, mri. Cmr is ideally suited to answer that. The duration of problems can vary from hours to months. Guy, r., et al., a comparison of ct and mri in the assessment of the pituitary and parasellar region. Sagittal (whichever plane mass best seen) pre/post gadolinium fatsat fast gre or t1 se images. Cardiac magnetic resonance imaging (mri) is an established imaging modality, well recognized for its value in the initial assessment and monitoring of a wide range of diseases of the heart and. The the mri protocol included assessment of late enhancement and extra cellular fluid volume (ecv). Meeting the challenges of myocarditis workshop. Transthoracic echocardiography is the imaging procedure of first choice in cases with satisfactory conditions classified as idiopathic, these cases are attributed to genetic factors, viral myocarditis. Myocarditis, also known as inflammatory cardiomyopathy, is inflammation of the heart muscle. This article aims to frame a general. Motion artefacts arising from the heart and lungs are due to the cardiac cycle and the respiratory cycle.
Cmr is ideally suited to answer that. Myocarditis is an inflammatory disease of the myocardium with a wide range of clinical presentations, from subtle to devastating. The duration of problems can vary from hours to months. • every image taken must serve a diagnostic goal. Are you dealing with new onset dillated cardiomyopathy or myocarditis?
Cardiovascular Magnetic Resonance Imaging For Inflammatory Heart Diseases Lewis Cardiovascular Diagnosis And Therapy from cdn.amegroups.cn A position statement of the european society of cardiology working group on myocardial and pericardial diseases. The the mri protocol included assessment of late enhancement and extra cellular fluid volume (ecv). Journal of the american college of cardiology vol. Sagittal (whichever plane mass best seen) pre/post gadolinium fatsat fast gre or t1 se images. Markedly angled, you can angle the axial images. Motion artefacts arising from the heart and lungs are due to the cardiac cycle and the respiratory cycle. Transthoracic echocardiography is the imaging procedure of first choice in cases with satisfactory conditions classified as idiopathic, these cases are attributed to genetic factors, viral myocarditis. The duration of problems can vary from hours to months.
More specifically, it is described as.
Of cardiology, maastricht university medical centre. Advancements in imaging and clinical management*. N myocarditis is an inflammatory disease of the heart muscle, diagnosed by established histological n the true incidence of myocarditis is unknown because the majority of cases are asymptomatic. The duration of problems can vary from hours to months. Sagittal (whichever plane mass best seen) pre/post gadolinium fatsat fast gre or t1 se images. Symptoms can include shortness of breath, chest pain, decreased ability to exercise, and an irregular heartbeat. Myocarditis can affect your heart severe myocarditis weakens your heart so that the rest of your body doesn't get enough blood. Myocarditis can sometimes be tricky to diagnose. The most common challenge of cardiac mri image acquisition is overcoming motion artefacts. The mri myocardial viability protocol encompasses a set of different mri sequences for the protocol specifics will vary depending on additional clinical questions, differential diagnosis, mri. Are you dealing with new onset dillated cardiomyopathy or myocarditis? Motion artefacts arising from the heart and lungs are due to the cardiac cycle and the respiratory cycle. Cardiac magnetic resonance imaging (mri) is an established imaging modality, well recognized for its value in the initial assessment and monitoring of a wide range of diseases of the heart and.
The most common challenge of cardiac mri image acquisition is overcoming motion artefacts myocarditis mri. Advances in cardiac imaging allow for greater.
Fidelity Debit Card : Fidelity Visa Gold Check Card Review: Never Pay ATM Fees - Most flat rate cash how to use the fidelity rewards visa signature card: . The fidelity rewards visa signature� card makes earning points on everyday purchases easy and. The fidelity cash management account is technically a brokerage account, which means it's not a bank account and doesn't have the same regulations or offerings (like a savings account) that a bank. To maximize the amount of cash back you. First fidelity bank debit card allows you to buy products and services without writing a check and is accepted anywhere you see the mastercard logo. Because it also reimburses all your atm fees worldwide. The fidelity card's rewards rate is much more generous than its competitors. Many people need to travel abroad frequently, and they usually ask a question: Also can fidelity's debit card be used on any atms or only some kinds of atms? Does fidelity accept prepaid deb...
Ben Simmons Parents : Ben Simmons Crown casino controversy: Sister Liv lashes ... : Do ben simmons' parents still love him? . Ben simmons childhood and early life. Philadelphia 76ers star ben simmons' family is at the center of disturbing allegations. Simmons grew up in newcastle, as his father was appointed coach there. Despite having different father's, ben and his siblings were raised up together. His family and life is also shown there. Ben's parents also share four children from julie's first marriage. The ben simmons family foundation is the major funder and supporter of helping hoops. Ben simmons' biography and early beginnings. His mother julie, who is from australia, met his father dave simmons in 1991 and they got married in 1994. You're browsing the gamefaqs message boards as a guest. Ben Simmons, No. 1 HS basketball player in country, leads .....
Home Run Derby 2021 Date - Home Run Derby Odds: Ohtani, Sluggers Ready to Tee Off at Coors : Find out for yourself, live at the all star break's funnest competition — check the info below to learn more, and get your home run derby 2021 tickets right away! . Out of the us and want to watch your home coverage? Below you'll find our run down of the broadcasters and countries showing the event. Find out for yourself, live at the all star break's funnest competition — check the info below to learn more, and get your home run derby 2021 tickets right away! Check out our list of 10k races near you below. But the most recent format seems to be one of the most. Select game and watch free 2021 home run derby live streaming on mobile or desktop! Check out all 23 of shohei ohtani's home runs this season as he continues to destroy baseballs! Tickets for the 2021 home run derby are on sale now. Upcoming mlb home run derby events in my area today, near my city to...
Komentar
Posting Komentar